Dr. Fernando Duarte – 24 Years of Follow-ups

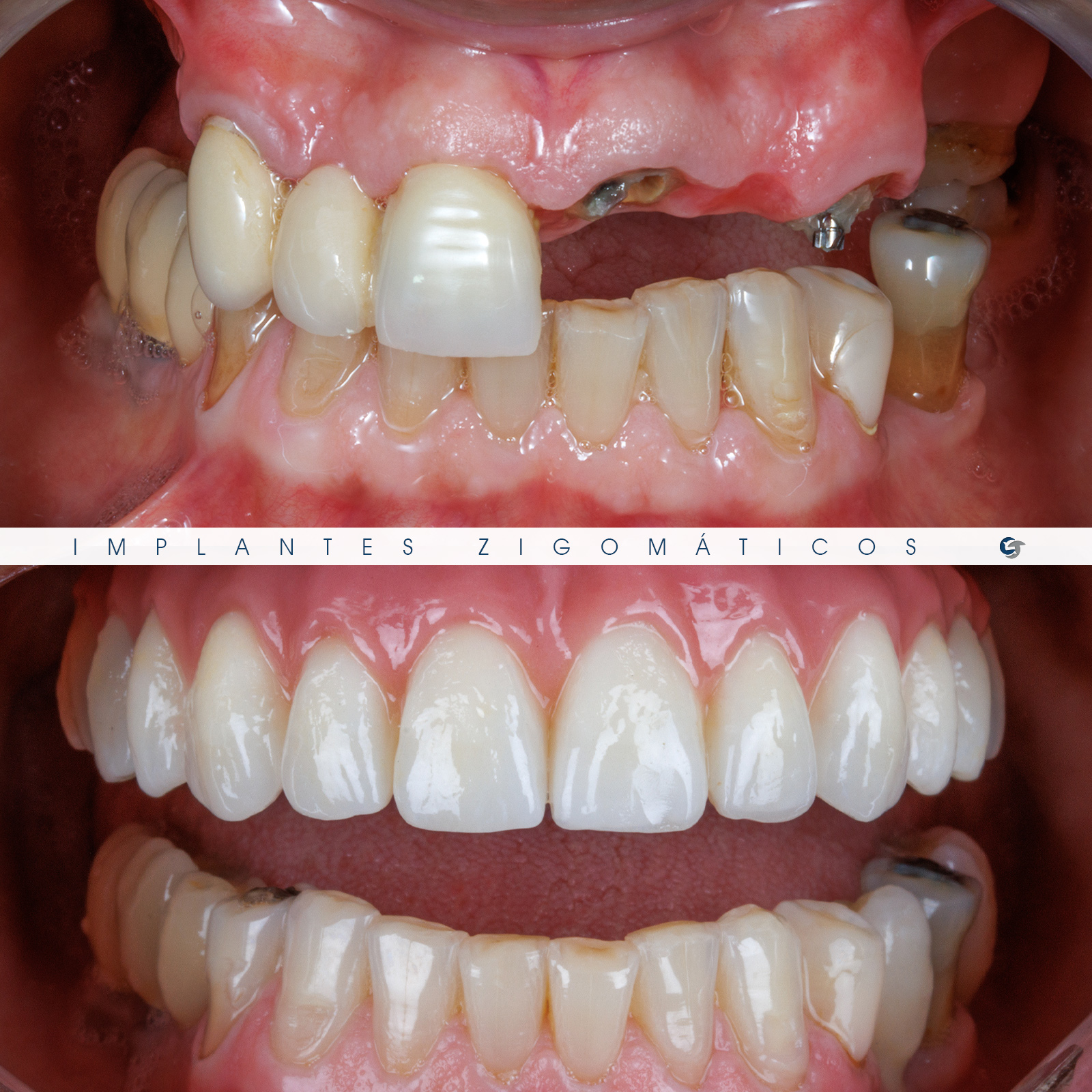
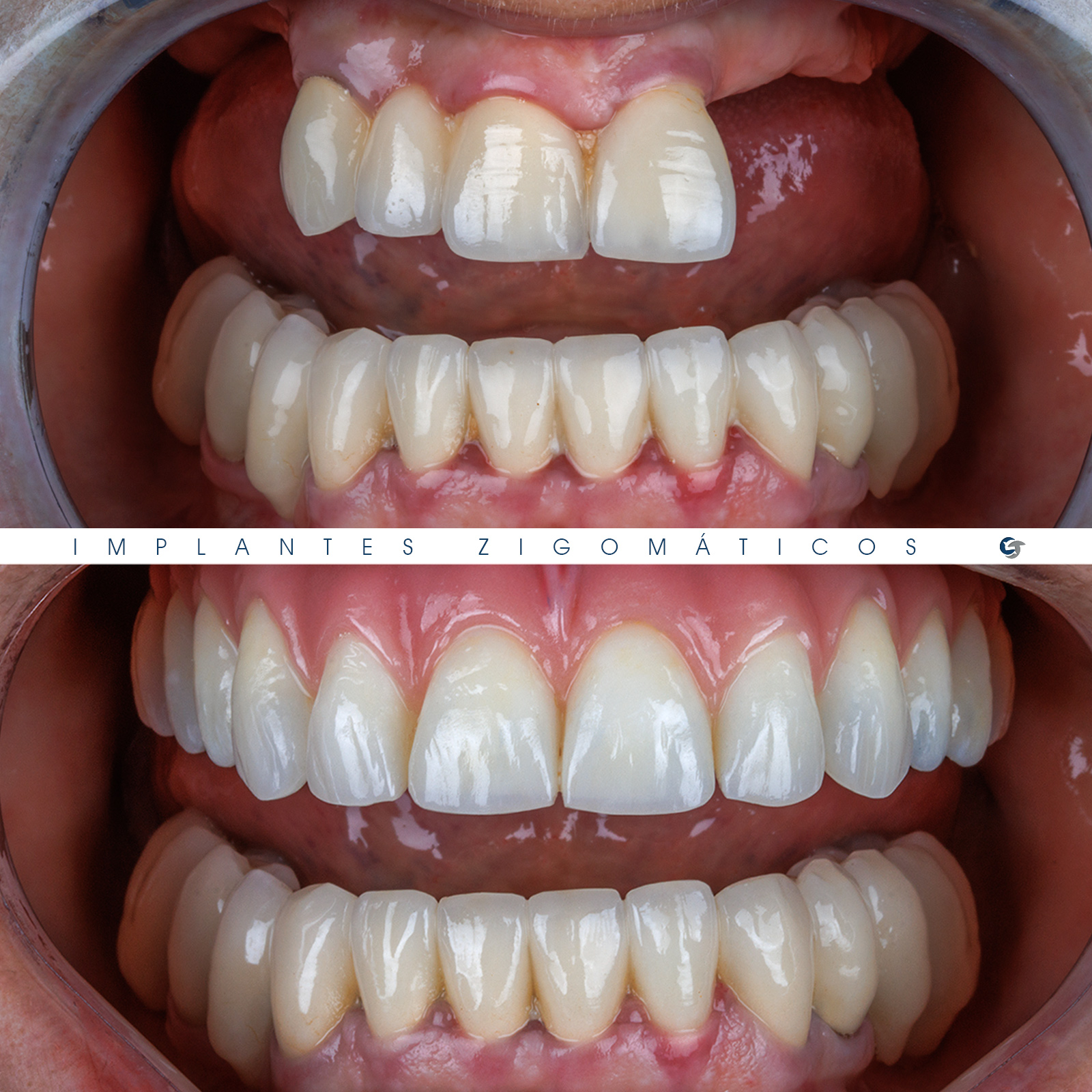
Dr. Fernando Duarte, a pioneer in the placement of Zygomatic Implants in Portugal, celebrated in January 2024, 24 years of follow-ups of the first clinical case. This type of implants intended for the rehabilitation of atrophic jaws represents a viable, safe and predictable alternative in the rehabilitation of this type of patient.
They are an alternative to traditional dental implants, used when there is not enough bone in the jaw. Thanks to modern technological advances, zygomatic implants have allowed many patients to forego the long processes of bone grafting and sinus lift.
The process involves a surgical procedure that requires adequate training and experience.

Implantology Assessment Consultation

Shares
Share This